- 海老名の歯医者「マリポサ歯科クリニック」TOP>
- 世界基準の成功率を追求する、精密根管治療〜トロント⼤学の哲学に基づき、あなたの⻭を守ります〜
トロント⼤学スタディプログラムとは
根幹治療の分野で権威として知られるトロント大学が主催するインターナショナル認定プログラムです。
通常であれば留学が必要な研修を、日本にいながら日本語で受講できる点が特徴です。プログラムでは約1年間にわたり、根管治療の理論から実践まで知識と技術を体系的に学ぶことが可能です。
規定の成績を収めた受講者には、トロント大学から正式な終了証が授与されます。
北米・トロント大学の歯内療法コンセプトに基づいた
Biological approach(生物学的アプローチ)で皆さんの歯を守る最適な治療
- ラバーダム防湿(唾液による細菌感染の100%遮断)
- マイクロスコープによる破折・未処置根管の徹底確認
- ニッケルチタンファイルによる低侵襲な拡大
- バイオセラミックシーラー(MTA)による緊密な充填
抜歯の前に、できることを最後まで
根管治療は「歯を残す」ための最終ラインです。
精密機器の利用だけで成功するわけではなく、診断力とアプローチ設計が鍵になります 。
個々の歯の状態に合わせて最適なプロトコルで治療します。
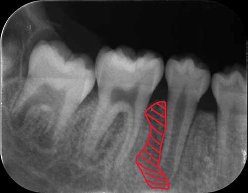
- 治療前

- 治療後

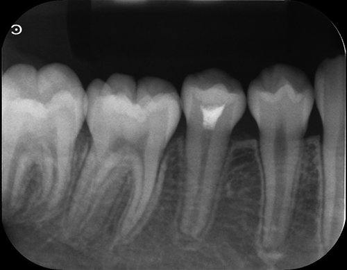
- 治療前

- 治療後


【初期】

【中期】

【完了】
この症例は、生え変わり前に根管に膿が溜まっていた(赤で示した部分)ため。
その部分の除去を行いました。
治療を早期段階で行ったことで歯根もしっかり伸びました。
初期:膿が陰になっている
中期:膿が除去できているが歯根が短い
完了:膿もなく歯根もしっかり伸びている
なぜ、根管治療がうまくいかず、
「悩まれている」人がこんなにも多いのか。
- 他院で抜歯と言われた
- 一度行った治療が再発した
- 当院では治療できないと言われた
という方は、是非当院までご相談ください。
マイクロスコープ
ラバーダム
CT撮影
MTAセメント
マイクロスコープ、ラバーダム、CT撮影、MTAセメント等
を活用すれば根管治療は成功するわけではありません。
「最新設備による検査」をし
「経験とエビデンスに基づいた診断」をし
「最新設備を使いこなす治療技術」が
すべてを決めます。
海老名の精密根管治療は
マリポサ歯科クリニックにお任せください
大切な歯を諦める前に

大切な歯を諦める前に
はじめまして、院長の副嶋です。
かつて「痛くて再発する」イメージの強かった根管治療は、テクノロジーの進化で劇的に変わりました。
私は、⽇本の根管治療の成功率が低いという現実に直⾯し、⼀⼈でも多くの⻭を救うため、世界で最もエビデンスが厳しいとされる「トロントスタディプログラム」で学び直しました。そこで得たのは、技術以上に「徹底した無菌的処置で再発を防ぐ」という強い信念です。
当院ではマイクロスコープを駆使し、⾁眼では⾒えないミクロの病巣まで精密にアプローチします。 他院で抜⻭と⾔われた⻭でも、残せる可能性は⼗分にあります。科学的根拠に基づいた最⾼⽔準の治療で、 あなたの⼤切な⻭の未来を守ります。
根管治療を成功させるための当院のこだわり
視野拡大でミクロン単位の精度にこだわる
マイクロスコープ


アメリカの歯内療法(根管治療)専門医 ゲイリー・カー先生は、「目に見えないものは治療できない(You can't treat what you can't see)」と述べています。肉眼とマイクロスコープとの視野ではそれほど差があるのです。
マイクロスコープを使うと、歯の内部だけでなく、目視では見えないような根っこの奥深くまで、鮮明に見ることができます。
歯科用CTによる精密検査

精密根管治療では、事前に3次元CTを用いた立体的な診断を行います。保険診療では基本的に2次元のレントゲンでの確認となり、精度に差が生まれます。
ラバーダム防湿

唾液が入りそうな状態

ラバーダムで唾液を防いでいる状態
日本の根管治療の成功率が低いことの主な原因は「細菌の取り残し」にあります。虫歯や根の病気の根本的な原因は細菌感染です。治療中に完全な滅菌が行われていないと、細菌が残存し、再発リスクが高まってしまいます。
「神経を抜く治療」とひとことで言っても、根管治療は非常に繊細で、高度な技術と設備を要する処置です。適切に行われないと、内部で細菌が再び活動し始め、やがて再治療や抜歯につながります。
ニッケルチタンファイルの使用

歯の根っこは非常に複雑で、その根っこの中にある神経をファイルという器具を用いて除去します。当院が使用するニッケルチタンファイルは、弾力性があるので湾曲した根管内の先端までしっかりと処置を行うことができます。
MTAセメントによる充填

感染物質を除去した後の空洞には、MTAと言う歯科用セメントを使用して充填します。先進的な充填材でコストがかかるため、日本での普及率は未だ低いのが現状ですが、当院ではMTAセメントを使用します。
費用
※表は左右にスクロールして確認することができます。
| 精密根管治療料金 | ||
|---|---|---|
| 相談料 | 5,500円 / 30分 | |
| 検査料 | 11,000円 / 1回 | |
| 歯の部位 根管治療 |
前歯 | ¥110,000 |
| 小臼歯 | ¥165,000 | |
| 大臼歯 | ¥220,000 | |
| 生活歯髄療法 | ¥110,000 | |
| 穿孔封鎖 | ¥22,000 | |
| 外科 | ¥55,000 ~ ¥110,000 | |
| 破折器具除去 | ¥27,500 ~ ¥55,000 | |
| 築造 | ¥50,000 | |
| 經過観察 | ¥3,300 | |
アクセス
contactご予約・ご相談はこちらから





